インプラント症例
インプラントの治療症例
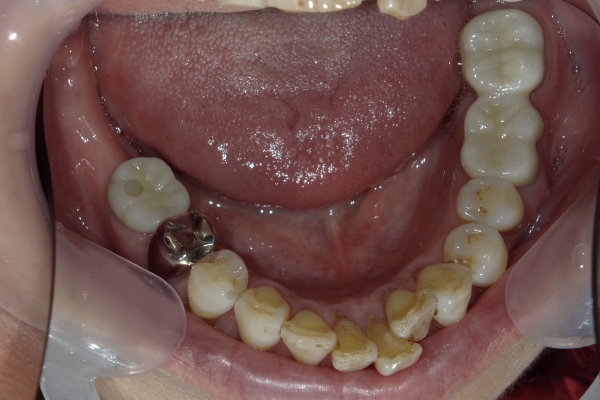
Case1
| 主訴 | 以前入れ歯を作ったが使えなかった |
|---|---|
| 治療期間 | 約3か月 |
| 治療費 | 400,000円 |
| 治療内容 | 右下に1本インプラント治療を行いました。今までほとんど左側で食事をしていたが、右側でもしっかり噛めるようになり、大変満足しているとの事です。 |
| 治療の リスク | インプラントも残っている歯と同様に歯周病になる可能性がある |
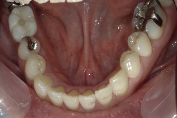
Case2
| 主訴 | 右側でも物を噛めるようにしてほしい |
|---|---|
| 治療期間 | 約3か月 |
| 治療費 | 900,000円 |
| 治療内容 | 右下に2本のインプラントを入れ、上の被せ物は3本分入れました。右でもしっかり食事ができるようになり、やって良かったとおっしゃっていました。 |
| 治療の リスク | インプラントも残っている歯と同様に歯周病になる可能性がある |
Case3
| 主訴 | 入れ歯やブリッジ以外で治療法がないか知りたい |
|---|---|
| 治療期間 | 約3か月 |
| 治療費 | 400,000円 |
| 治療内容 | 右下奥歯の根が割れてしまったので抜歯をし、できるだけ歯を削りたくないが入れ歯も嫌との話でしたのでインプラント治療を行いました。 |
| 治療の リスク | インプラントも残っている歯と同様に歯周病になる可能性がある |
Case4
| 主訴 | 右側でもしっかり食事がしたい |
|---|---|
| 治療期間 | 約3か月 |
| 治療費 | 900,000円 |
| 治療内容 | 右下に2本のインプラントを入れ、上の被せ物は3本分入れました。お肉もなんでも食事ができるようになったと大変喜んでおられました。そう言ったお言葉をいただくと私も嬉しいです。 |
| 治療の リスク | インプラントも残っている歯と同様に歯周病になる可能性がある |
Case5
| 主訴 | 入れ歯ではなくしっかり食べたい |
|---|---|
| 治療期間 | 約3か月 |
| 治療費 | 750,000円 |
| 治療内容 | 以前入れ歯を作ったが、合わなくて使っていなかったということで、患者様と相談し、右下奥歯に2本インプラント治療を行いました。 |
| 治療の リスク | インプラントも残っている歯と同様に歯周病になる可能性がある |
Case6
| 主訴 | 歯を抜いた所をインプラントしたい |
|---|---|
| 治療期間 | 約3か月 |
| 治療費 | 400,000円 |
| 治療内容 | 左上の奥歯に1本インプラント治療を行いました。上物が入った時、凄く綺麗に被せ物が入り、とても喜ばれていました。 |
| 治療の リスク | インプラントも残っている歯と同様に歯周病になる可能性がある |
Case7
| 主訴 | 左の奥歯がないので歯を入れてほしい |
|---|---|
| 治療期間 | 約3か月 |
| 治療費 | 400,000円 |
| 治療内容 | 右下の奥歯が割れた為、抜歯を行い1本インプラントを入れました。 |
| 治療の リスク | インプラントも残っている歯と同様に歯周病になる可能性がある |
Case8
| 主訴 | 抜いた所にインプラントをしたい |
|---|---|
| 治療期間 | 約3か月 |
| 治療費 | 400,000円 |
| 治療内容 | 左下奥歯が根が割れてしまったので、抜歯をし、インプラント治療を行いました。 |
| 治療の リスク | インプラントも残っている歯と同様に歯周病になる可能性がある |
Case9
| 主訴 | 歯がない所にインプラントをしたい |
|---|---|
| 治療期間 | 約3か月 |
| 治療費 | 400,000円 |
| 治療内容 | 左上奥歯が根が割れてしまったので、抜歯をし、インプラント治療を行いました。綺麗に入り、喜んでおられました。 |
| 治療の リスク | インプラントも残っている歯と同様に歯周病になる可能性がある |
Case10
| 主訴 | 抜いた所にインプラントをしたい |
|---|---|
| 治療期間 | 約3か月 |
| 治療費 | 400,000円 |
| 治療内容 | 左下奥歯が根が割れてしまったので、抜歯をし、インプラント治療を行いました。 |
| 治療の リスク | インプラントも残っている歯と同様に歯周病になる可能性がある |
Case11
| 主訴 | 左上の歯が無い所にインプラントして欲しい |
|---|---|
| 治療期間 | 約3か月 |
| 治療費 | 950,000円 |
| 治療内容 | 左上に2本インプラント治療を行いました。骨の高さが不足していた為、ソケットリフトという、人工の骨を足して治療を行いました。 |
| 治療の リスク | インプラントも残っている歯と同様に歯周病になる可能性がある |
Case12
| 主訴 | 左右の歯が無い所にインプラントして欲しい |
|---|---|
| 治療期間 | 約3か月 |
| 治療費 | 1,050,000円 |
| 治療内容 | 左右の奥歯が無かったので、患者様と相談し、右上にはノンクラスプデンチャー(バネが見えない入れ歯)、左側にはインプラントを2本入れ、ブリッジという構造で上物を3本分入りました。今までとは全く食べれるものが変わって大変喜んでおられました。 |
| 治療の リスク | インプラントも残っている歯と同様に歯周病になる可能性がある |
Case13
| 主訴 | 右上の歯を抜いた所にインプラントして欲しい |
|---|---|
| 治療期間 | 約3か月 |
| 治療費 | 440,000円 |
| 治療内容 | 右上に1本インプラント治療を行いました。以前もインプラント治療を受けていた方でしたが、今回もしっかり入り、大変喜んでおられました。 |
| 治療の リスク | インプラントも残っている歯と同様に歯周病になる可能性がある |

























